Die HarmonieSchiene von Orthos
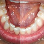
Die unsichtbare Zahnspange für gerade Zähne. Schöne, gerade Zähne wünschen sich immer mehr Menschen. Kein Wunder, schließlich gibt es kaum etwas Attraktiveres als ein herzhaftes Lachen mit hervorblitzenden geraden Zähnen. Viele Erwachsene sind jedoch nicht glücklich mit ihren Zähnen. Wenn es auch Ihnen so geht und Sie sich mit Zahnlücken, schiefen oder gedrehten Zähnen nicht abfinden wollen, dann haben wir für Sie die passende Lösung: Die Schienentherapie mit der HarmonieSchiene von Orthos. Schon innerhalb weniger Wochen lassen sich schiefe oder hervorstehende Zähne gerade richten und unästhetische Zahnlücken schließen.
Die durchsichtige, herausnehmbare HarmonieSchiene fällt nicht auf und behindert im Alltag weder beim Sprechen noch beim Lachen. Mit der HarmonieSchiene bieten wir Ihnen nicht nur eine effektive, sondern im Gegensatz zu anderen Schienentherapien auch eine kostengünstigere Alternative für Ihre geraden Zähne. Denn: Im Gegensatz zu anderen Systemen wird bei der HarmonieSchiene nur die individuell nötige Anzahl an Schienen gefertigt und berechnet.
Freuen Sie sich auf Ihr schönstes Lächeln – sprechen Sie uns einfach an!
Und so funktioniert die Schienentherapie mit der HarmonieSchiene von Orthos
- Wir nehmen Abdrücke von Ihrem Gebiss und senden diese ins Fachlabor Orthos.
- Gemeinsam mit uns bestimmen Sie die optimale Stellung Ihrer Zähne.
- Das Labor prüft, was möglich ist, und erstellt ein individuelles, unverbindliches Angebot für Sie.
- Das Labor fertigt die nötige Anzahl an HarmonieSchienen an.
- Sie tragen die HarmonieSchiene den ganzen Tag (außer zum Essen oder zur Zahnpflege).
- Das erreichte Ergebnis wird dauerhaft gesichert.
- Herzlichen Glückwunsch zu Ihrem neuen Lächeln!
Vorteile der Schienentherapie mit der HarmonieSchiene von Orthos
- Diskrete Korrektur der Fehlstellung von Frontzähnen speziell für Erwachsene.
- Formularbeginn
- Formularende
- HarmonieSchienen behindern nicht im Alltag.
- Da die Schienen herausnehmbar sind, erfolgt die Zahnpflege wie gewohnt.
- Kurze Behandlungsdauer mit langfristigem Erfolg.
- Behebt Zahnlücken, gedrehte oder schiefe Zähne und Engstände der Frontzähne.
- Kostengünstig, diskret und schnell.
Dauer und Kosten der Schienentherapie mit der Harmonie-Schiene von Orthos
Für die Korrektur mit der Schienentherapie werden in der Regel zwischen 1 bis 8 HarmonieSchienen benötigt. Der Weg zu geraden Zähnen dauert im Durchschnitt 4 Monate, kann jedoch im Einzelfall von drei Monaten bis zu einem halben Jahr variieren. Je nach Umfang der Schienentherapie können Koste zwischen ca. 600,-und 3.000,-Euro entstehen. Dies hängt dabei von jedem einzelnen Patienten, seinen Wünschen und seiner Zahnsituation ab. Übrigens: Das erste Beratungsgespräch zur Schienentherapie ist für Sie natürlich kostenlos!

